

Blog
2026年2月3日

こんにちは。三鷹市下連雀にある三鷹ハートフル矯正歯科医院です。
歯と歯のあいだにすき間があるすきっ歯は、口元の印象を左右する大きな要素の一つです。特に前歯にすき間があると、笑ったときや話しているときに目立ちやすく、自分の表情に自信が持てなくなることもあります。
近年では、見た目に対する意識の高まりや、自分らしい笑顔を大切にしたいという想いから、すきっ歯の改善に関心を持つ人が増えています。矯正技術の進歩により、選べる治療方法も多様化しており、自分に合った選択肢を見つけることが可能になってきました。
この記事では、すきっ歯になる原因や治療方法、治療期間、費用までをわかりやすく解説します。
目次

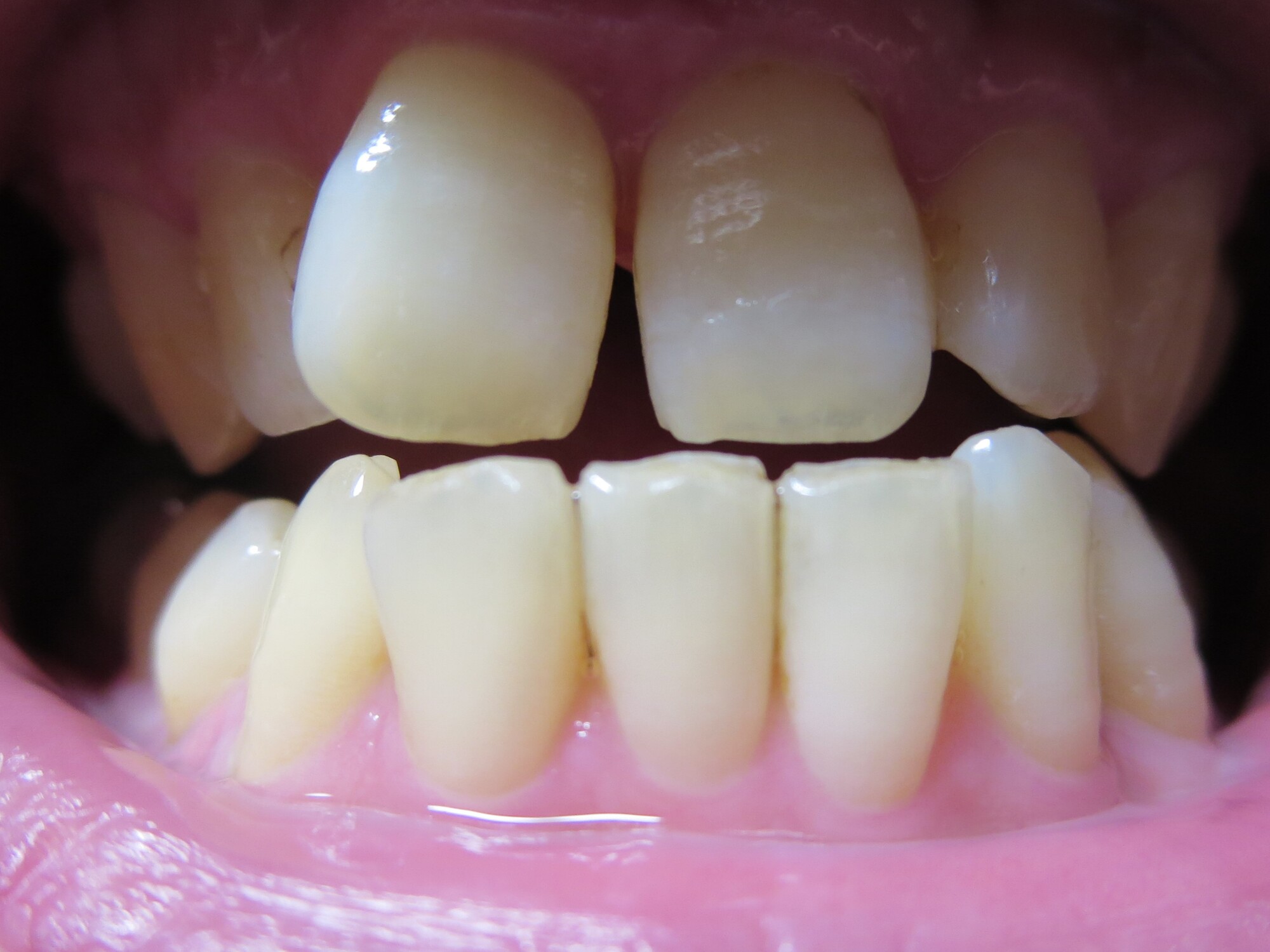
すきっ歯とは、歯と歯の間に不自然な隙間が空いている状態を指します。特に前歯に目立つことが多く、見た目の印象にも大きく影響します。
歯科用語では空隙歯列(くうげきしれつ)と呼ばれ、成長過程における一時的な状態であることもあれば、永久歯への生え変わりが原因で起きている場合もあります。
乳歯の時期にはよく見られる現象ですが、永久歯に生えかわったあともすきっ歯が残っている場合は、何らかの原因が関係している可能性が高いです。

すきっ歯には、生まれつきのものもあれば、生活習慣や癖が原因で起こることもあります。まずは、それぞれの原因について詳しく見ていきましょう。
歯並びや顎の大きさは、親から受け継がれることがあります。
例えば、顎が大きく、歯が小さいという特徴を持っている場合、歯が並ぶスペースに余裕が生まれやすく、結果として歯と歯のあいだにすき間が見られることがあります。また、家族の中にすきっ歯の人がいる場合、同じような歯並びになることもあります。
こうした特徴は成長とともにわかってくることが多く、永久歯が生えそろう時期にすきっ歯が目立つケースも少なくありません。
永久歯の本数がもともと少ない場合、歯列の中に空いたスペースが残り、歯と歯のあいだにすき間ができることがあります。これは先天性欠如歯と呼ばれ、特定の永久歯が生まれつき存在しない状態です。
歯が足りない分、周囲の歯がその空間を埋めることなく並ぶため、すきっ歯のように見えることがあります。
また、乳歯が早く抜けたあと、後続の永久歯が生えるまでに時間がかかると、一時的にすき間が目立つこともあります。歯の本数は見た目だけでなく、噛み合わせや歯列全体のバランスにも影響します。
日常の何気ない習慣や癖が、すきっ歯の原因になっていることもあります。
たとえば、舌で前歯を押す癖や、指しゃぶり、唇を噛むといった癖は、歯に継続的な圧力をかけることになります。この圧力が少しずつ加わることで、歯と歯の間にすき間が生じることがあるのです。また、頬杖をつくなどの習慣も、無意識のうちに歯並びを乱す原因になります。
こうした癖は、子どもだけでなく大人にも見られるため、自分では気づかないままに歯並びに影響を与えているケースもあります。すきっ歯を予防・改善するためには、こうした生活習慣を見直すことも欠かせません。

すきっ歯をそのままにしておくと、見た目の問題だけではなく、健康や生活面にも影響を与える可能性があります。
歯と歯の間に隙間があると、そこに食べかすや汚れがたまりやすくなります。歯ブラシが届きにくく清掃が不十分になると、虫歯や歯周病を引き起こすリスクが高まるのです。特に歯周病は進行すると歯を支える骨を溶かし、将来的に歯を失うリスクもあります。
そのため、デンタルフロスや歯間ブラシを使ったセルフケアに加えて、定期的に歯科検診を受けることが大切なのです。
歯と歯の間にすき間があると、発音の際に空気が抜けやすくなり、言葉がはっきり聞こえにくくなることがあります。特にサ行やタ行といった音は、影響を受けやすいとされています。言葉がうまく伝わらない場面が続くと、人前で話すことに抵抗が生まれる場合もあるでしょう。
歯と歯の間にすき間があると、上下の歯がうまく噛み合わないことがあります。噛み合わせが悪くなると、噛む力が一部の歯に集中しやすくなり、歯や顎に負担がかかる可能性があるでしょう。
こうした状態が続くと、顎が疲れやすくなったり、食事の際に違和感を覚えたりすることもあります。また、噛み合わせのバランスが崩れると、全身の筋肉に影響を与え、肩こりや頭の重さを感じることもあります。
口を開けたときにすきっ歯が目立つと、笑ったり話したりするときに口元を気にするようになることがあります。周囲の視線を意識して、自然な表情を出しづらくなることもあるでしょう。
とくに前歯のすき間は目につきやすいため、口元の見た目が気になって人との会話を避けがちになるケースもあります。

すきっ歯を治療する方法はいくつかあり、歯の状態や本人の希望、費用などに応じて選択されます。ここでは、すきっ歯を矯正する方法をご紹介します。
ワイヤー矯正は、歯の表面にブラケットという小さな装置を取りつけ、ワイヤーを通して歯を少しずつ動かしていく矯正方法です。
歯並び全体に力をかけることができるため、すき間が広い場合や、ほかの歯並びの問題がある場合にも幅広く対応できます。見た目が気になる方には、透明や白色の目立ちにくいブラケットが用いられることもあります。
装置は固定式で、食事や歯みがきの際にも装着されたままとなるため、衛生管理やセルフケアの工夫が求められます。通院を重ねながら、段階的に歯の位置を調整していく治療です。
マウスピース矯正とは、透明なマウスピースを装着して歯を少しずつ動かしていく治療方法です。
見た目が自然で、装着中も目立ちにくいため、社会人や学生の方から高い人気を集めています。マウスピースは自分で取り外すことができるため、食事や歯みがきがしやすく、口の中を清潔な状態に保ちやすいのも大きな特長です。
軽度から中等度のすきっ歯であれば、この方法で改善が期待できます。

すきっ歯の矯正にかかる期間は、歯並びの状態や選択する治療方法によって異なります。例えば、軽度のすきっ歯の場合は、半年〜1年程度で完了することもあります。
一方、歯列全体の矯正が必要な場合や抜歯を伴う場合は、1年半〜2年以上かかることもあります。
ワイヤー矯正とマウスピース矯正では、歯の動かし方や治療の進め方に違いがあるため、同じ状態でも期間に差が出ることがあります。また、矯正中の経過によって、治療期間が延びることもあるため、事前に見通しを確認し、無理のないスケジュールを立てることが大切です。

すきっ歯の矯正にかかる費用は、部分的にすき間を整える場合と歯並び全体を整える場合とで異なります。
ワイヤー矯正で部分的に治療を行う場合の費用は、30万円から70万円程度が目安とされています。前歯のすき間だけを整えるようなケースでは、この範囲で対応されることが多いです。
一方、歯並び全体を対象とする場合には、70万円から120万円程度が一般的です。使用する装置の種類や通院頻度によっても金額が前後することがあります。
マウスピース矯正の場合、部分矯正では40万円から60万円程度が目安となります。軽度なすき間であれば、この方法で対応されるケースもあります。全体矯正になると、使用するマウスピースの枚数が増えるため費用も高くなり、70万円から100万円程度となることが多いです。
初回の検査料や診断料、調整費などが別途加算されることもあるため、治療を受ける前に確認することが大切です。

すきっ歯は見た目の印象に関わるだけでなく、話し方や食べ方、口の中の清掃にも影響することがあります。気になる場合は、その状態をそのままにせず、早めに歯科医院で相談するのがよいでしょう。
矯正方法にはワイヤー矯正やマウスピース矯正などの方法があり、すき間の広さや歯並びの状態によって、期間や費用が異なります。部分的な処置で整う場合もあれば、歯列全体の調整が必要になることもあります。
まずは自分の歯の状態を正しく知ることが大切です。そのうえで、治療方法や進め方について納得できる選択ができるよう、情報を集めながら準備を整えていきましょう。
矯正治療を検討されている方は、三鷹市下連雀にある三鷹ハートフル矯正歯科医院にお気軽にご相談ください。
当院は「全ては患者様の笑顔のために」を医院理念として診療にあたっています。マウスピースとワイヤーを使用したできるだけ歯を抜かない矯正治療をはじめ、ホワイトニングやクリーニングも実施しています。
当院のホームページはこちら、ネット予約やLINEの無料相談もお受けしております。ぜひご覧ください。公式Instagramも更新しておりますので、ぜひチェックしてみてください。