

Blog
2025年4月1日















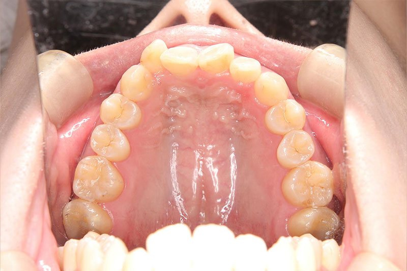
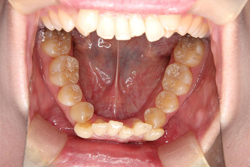
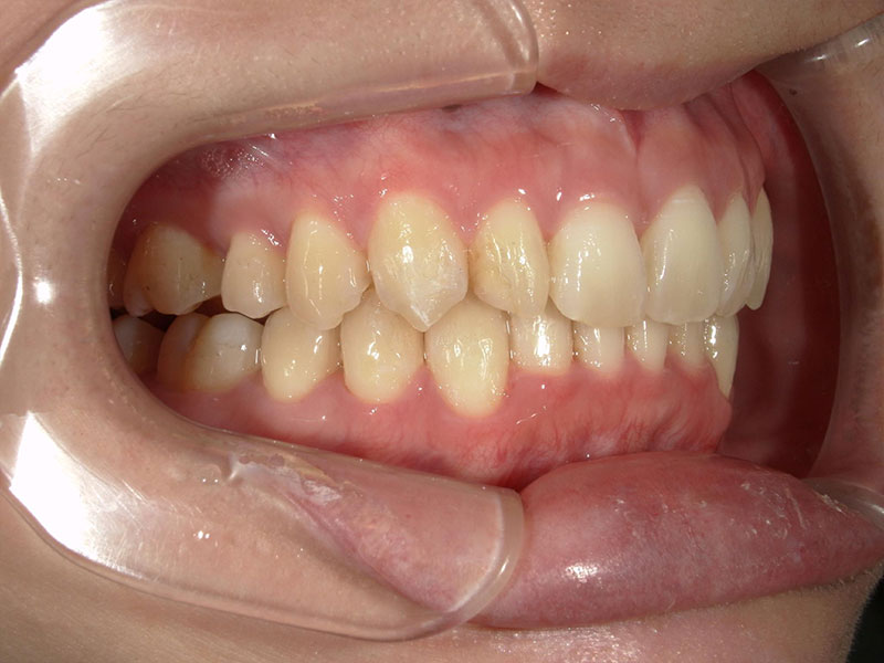
非抜歯での治療をご希望しご来院されました。妊娠、出産をはさみながらの矯正治療になったので、デンタルモニタリングを活用してなるべくご来院回数を減らして治療を行いました。
デンタルモニタリングでのチャット機能も使いコミュニケーションをとることで、安心して治療を行うことができたとおっしゃっていました。
| 通院時年齢 | 20代 |
| 性別 | 女性 |
| 通院目的 | マウスピース矯正治療 |
| 診断 | 叢生 |
| 主訴 | 右上の八重歯が気になる あごの痛みが気になる |
| 通院期間 | 2年 |
| 通院回数 | 6回 |
| 抜歯 | なし |
| 費用 | 1,100,000円(税込) |
| リスク・副作用 | 1日に20時間以上マウスピースを装着していないと歯が動きません。マウスピースは6日に1回交換します。また、咬合改善のため顎間ゴムの使用が必要になります。治療途中で顎の痛みがある場合は先に進まないことが大切です。 矯正中に痛みを伴う場合があります。 治療期間につきましては個人差があります。 |